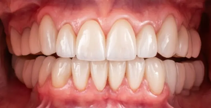
Implant Crown&Bridge
description1
Indications
✔ Patients with known metal allergies or sensitivities
✔ Highly esthetic zones (anterior teeth or visible gum lines)
✔ Full or partial edentulism requiring implant-supported crowns or bridges
✔ Patients preferring a holistic, metal-free dental approach
✔ Soft-tissue-sensitive patients prone to peri-implantitis
Advantages
Metal-Free & Aesthetic: 100% metal-free and tooth-colored for superior esthetic outcomes.
Biocompatible: Non-reactive and hypoallergenic, zirconia is ideal for sensitive or medically compromints.
Excellent Osseointegration: Promotes strong bone-implant bonding and long-term implant stability.
Hygienic & Low Plaque Affinity: Zirconia surfaces naturally resist bacterial adhesion, improving gingival health.
Corrosion-Resistant: No risk of ion release or galvanic effects.
Long-Term Performance: Proven clinical stability over decades of functional use.
Material Characteristics
Yttria-Stabilized Tetragonal Zirconia Polycrystal (Y-TZP)
One-piece or two-piece systems with ceramic abutment compatibility
Technical Parameters
Flexural Strength |
≥ 900 MPa |
Fracture Toughness |
5–10 MPa·m½ |
Available in various diameters (3.5–5.0 mm) and lengths (8–14 mm) | |
Compatible with digital planning and guided surgery protocols | |
Turnaround Time |
3–5 working days |
Lifetime (Warranty) |
3 years warranty (adjustments or remakes covered within warranty period) |
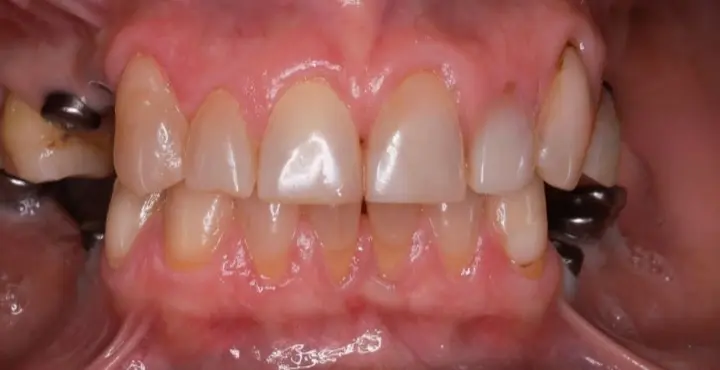
Before






