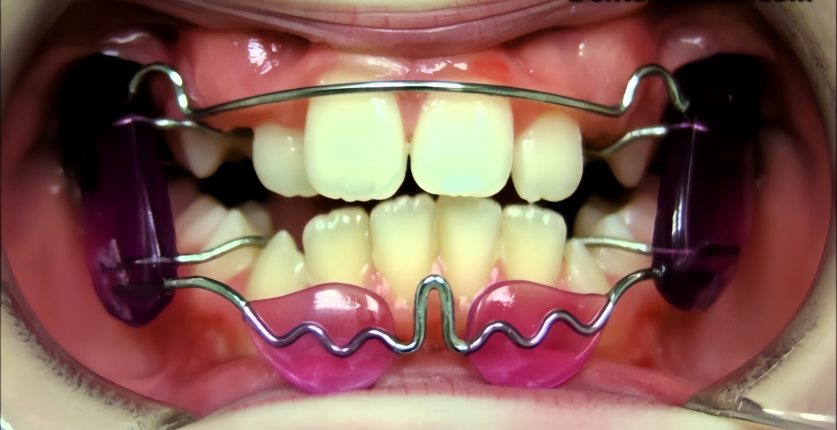
Othopedic Functional Appliance(Funstion Regulator)
description1
Indications
Functional appliances are highly effective for interceptive orthodontic treatments and early-stage skeletal corrections:
✔ Skeletal Class II (retrognathic mandible) or Class III (prognathic mandible) cases
✔ Deep bite, open bite, or crossbite corrections
✔ Pediatric patients with abnormal oral habits (e.g., mouth breathing, tongue thrusting)
✔ TMJ-related postural issues
✔ Growth modification without extraction or surgical intervention
Advantages
Growth-Oriented Correction: Harnesses the natural growth process for skeletal realignment, especially effective in growing patients
Non-Invasive: Eliminates the need for early surgery or tooth extraction in many cases
Versatile Design: Available in both fixed and removable styles to suit patient age, compliance, and clinical needs
Functional Rehabilitation: Helps retrain oral muscle patterns, improving breathing, speech, and swallowing functions
Facial Aesthetics: Supports harmonious facial development and improves soft tissue profile
Custom-Fabricated: Individually designed using digital or manual impressions for precise fit and maximum compliance
Material Composition
Acrylic base plates
Stainless steel or titanium wire components
Optional thermoplastic or silicone elements for comfort
Biocompatible and easily adjustable materials
Technical Specifications
Available as maxillary, mandibular, or dual-jaw designs | |
Fully customized based on patient’s cephalometric analysis | |
Compatible with traditional or digital workflows (STL file ready) | |
Adjustment intervals |
every 4–6 weeks depending on treatment stage |
Turnaround Time |
3–5 working days |
Lifetime (Warranty) |
3 years warranty (adjustments or remakes covered within warranty period) |
Before






